Dental CBCT

Owandy I‑Max 3D XPRO

Next‑generation dental panoramic and CBCT imaging with exceptional quality, flexible multi‑FOV options, and streamlined digital workflows.

High‑definition imaging for confident diagnosis

The I‑Max 3D XPRO delivers ultra‑high image quality (down to 70µ) with advanced sensor technology and intelligent processing. From implant planning to orthodontics and oral surgery, get crisp, detailed visualizations that help you make precise, patient‑specific decisions.

  • 4‑in‑1 system: panoramic, CBCT (3D), cephalometric, and 3D object scans.
  • Multi‑FOV flexibility from 16×11 cm to 5×5 cm to fit each case.
  • Compact footprint with wall‑mount options to fit tight operatories.
Owandy I‑Max 3D XPRO unit

Key features

Ultra quality

Up to 70µ resolution for highly detailed images that elevate clinical confidence.

Multi‑FOV flexibility

Choose the field of view (from 16×11 cm to 5×5 cm) per indication to limit dose and capture exactly what you need.

4‑in‑1 versatility

Panoramic, 3D CBCT, cephalometric, and 3D object scanning in a single compact platform.

Face‑to‑face positioning

Improve patient alignment and comfort for more consistent acquisitions.

Surgical guide ready

Integrates into a digital workflow for precise guided surgery and predictable outcomes.

Compact installation

Small footprint with column or wall‑mount options to fit your practice layout.

CONE BEAM MULTI-FOV (Field of view)

Multi-FOV Field of View visualization

Operational Flexibility

Adapts imaging area to clinical needs (small FOV for single-tooth, medium for jaw, large for full cranium), significantly reducing radiation exposure.

High Precision & Resolution

Delivers detailed 3D images with exceptional spatial resolution, enabling accurate diagnostics and personalized treatment planning.

Reduced Radiation Exposure

Targets only the area of interest, minimizing radiation dose compared to traditional CT scanners.

Clinical Efficiency

Provides 3D visualization of anatomical structures, streamlining diagnosis, surgical planning, and post-operative follow-up.

Versatility

A comprehensive tool for dental professionals, supporting diverse applications (implantology, orthodontics, oral surgery).

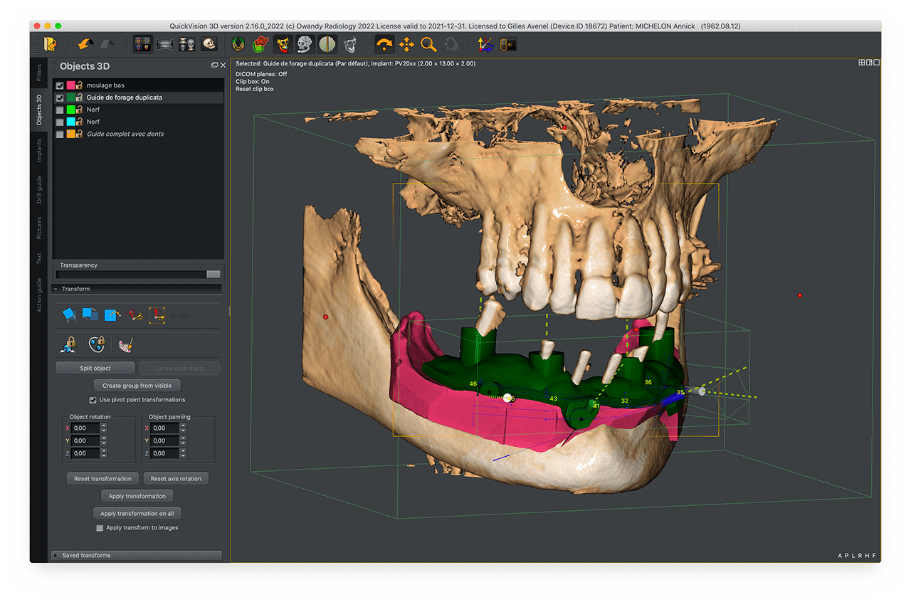
QuickVision 3D Implant planning software

QuickVision 3D is a comprehensive software package that generates panoramic images, cross-sections and bone models based on axial image readings, enabling you to identify the mandibular canal and show the 3D bone model to calculate bone density.

QuickVision 3D allows you to simulate implant placement on 2D and 3D models. To facilitate surgery, the patient's main anatomical features are identified: the exact location of the implant, possible collisions and many other clinical aspects.

Quickvision 3D implant planning software will be your best ally in making prosthetic implant surgery faster, safer and more efficient.

QuickVision 3D interface
QuickVision 3D implant planning QuickVision 3D 3D visualization

Advanced sensor and processing

Powered by the latest sensor innovations and intelligent denoising, the I‑Max 3D XPRO produces sharp, low‑noise images that reveal critical anatomy. Metal artifact reduction helps preserve detail around challenging restorations.

  • Super IGZO intelligent sensor for exceptional clarity.
  • AI denoising to enhance fine structures at lower doses.
  • AutoMAR algorithm to reduce metal artifacts.
Super IGZO sensor AutoMAR metal artifact reduction Multi‑FOV illustration

Clinical benefits

Operational flexibility

Select the imaging volume that matches each case to limit exposure and speed decision‑making.

High precision

Fine spatial resolution enhances diagnostics and supports accurate treatment planning.

Lower dose

Target only the area of interest to reduce radiation compared to conventional CT.

Clinical efficiency

Streamline diagnosis, surgical planning, and follow‑up with clear 3D visualization.

Versatility

Supports implantology, orthodontics, oral surgery, and more in one system.

Digital workflow

From imaging to surgical guides, integrate with planning software and CAD/CAM.

Wayfinder: Authorized Owandy reseller

Partner with a team that supports the full lifecycle: site planning, delivery and installation, training, and ongoing support. We work around your schedule to minimize downtime and ensure your team is confident from day one.

  • Consultative pre‑sales with clear, plain‑language guidance.
  • Turnkey install and integration with your existing systems.
  • Staff onboarding and responsive support after go‑live.
Wayfinder is an authorized Owandy reseller

Ready to bring 3D clarity to your practice?

We’ll help you choose the right configuration, plan the install, and train your team.

Talk with an expert